BLOG - THE VILLAGES, FL

Tips, Facts, and the Latest in Dentistry

Schedule Your Appointment

Get Started

Recent Videos

Recent Blogs

A dentist is explaining the parts of a dental implant to a patient using a model, pointing to the implant screw, abutment, and crown. No text on image.
Dental Implants: How Do They Work? A Simple Guide By The Villages, FL Experts
If you’re asking “dental implants how does it work,” this short guide by The Villages, FL experts gives a clear, step‑by‑step answer. Implants replace missing...
A person with missing teeth is smiling, then the after photo shows a complete smile restored by dental implants. The text overlay says "Implants Dentaires: The Villages, FL".
Implants Dentaires: Everything You Need To Know About Dental Implants
If you’re reading this, you want a clear, practical overview of implants dentaires in The Villages, FL. This article explains what implants dentaires are, the...
A close-up of a dentist pointing to a damaged tooth on a dental x-ray, with the dentist and patient in the background. No text on the image.
How Dental Implants Can Save Your Dentistry Tooth in The Villages, FL
If you’re facing a failing or missing tooth, a “dentistry tooth” problem can affect more than your smile. A dentistry tooth issue usually means a...
An infographic comparing the three main parts of a dental implant: the implant post, the abutment, and the crown. No text on the image.
What Do Dental Implants Look Like? Separating Fact From Fiction
Many people ask, “What do dental implants look like?” This post separates fact from fiction and explains the parts of an implant, how implants appear...
Close up image of a dental implant being "screwed in" to a patients lower jaw. No text on the image.
Screwed In Teeth: Dental Implants, The Permanent Solution | The Villages, FL
Many people call dental implants “screwed in teeth.” If you’re reading this, you’ll learn what “screwed in teeth” means, who can get them, how they’re...
Image of a smiling senior couple in The Villages, FL, holding hands near a golf cart, with one person pointing to their teeth, showcasing their dental implants and restored smiles. No text on image.
Are Dental Implants Expensive? Costs, Benefits, and Options in The Villages, FL
If you’ve wondered “are dental implants expensive,” this short guide breaks down the typical figures, what affects price, the real benefits, and ways to make...
A diverse group of patients smiling, showcasing different tooth replacement options: dental implants, fixed bridges, partial dentures, and full dentures. The text on the image says "Find the Best Tooth Replacement Option for You".
The Best Tooth Replacement Options: Implants, Bridges, & More in The Villages
If you’re weighing the best tooth replacement in The Villages, this guide will help. You’ll get a clear, simple comparison of implants, bridges, dentures, costs,...
A close-up image comparing the incorrect spelling "inplant" crossed out in red, next to the correct spelling "implant" highlighted in green, with a subtle background of dental tools and a jawbone x-ray. No text on image.
Inplant or Implant? Understanding Dental Implants in The Villages, FL
Many people type “inplant or implant” when searching for tooth replacement options. The short answer: “implant” is the correct spelling. This post will clear up...
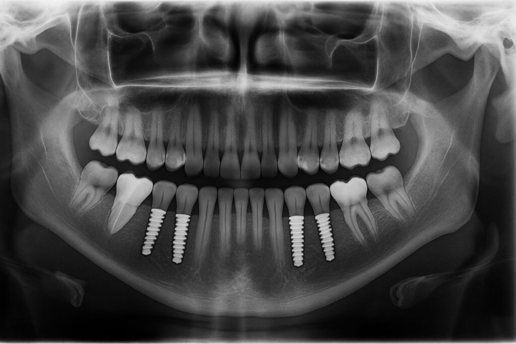
Photo of a mouth X-ray with titanium implant teeth placed in the jawbone. No text on the image.
How Dental Implant Teeth Work | Options & Benefits in The Villages, FL
Implant teeth are replacement tooth roots—usually titanium posts—placed into the jaw to support crowns, bridges, or dentures. In this article you’ll learn how implant teeth...