Implant teeth are replacement tooth roots—usually titanium posts—placed into the jaw to support crowns, bridges, or dentures. In this article you’ll learn how implant teeth work, the common restoration options, the placement steps, benefits, who is a good candidate, cost and timeline basics, and what to expect at your first visit for implant teeth in The Villages, FL.
What are implant teeth?
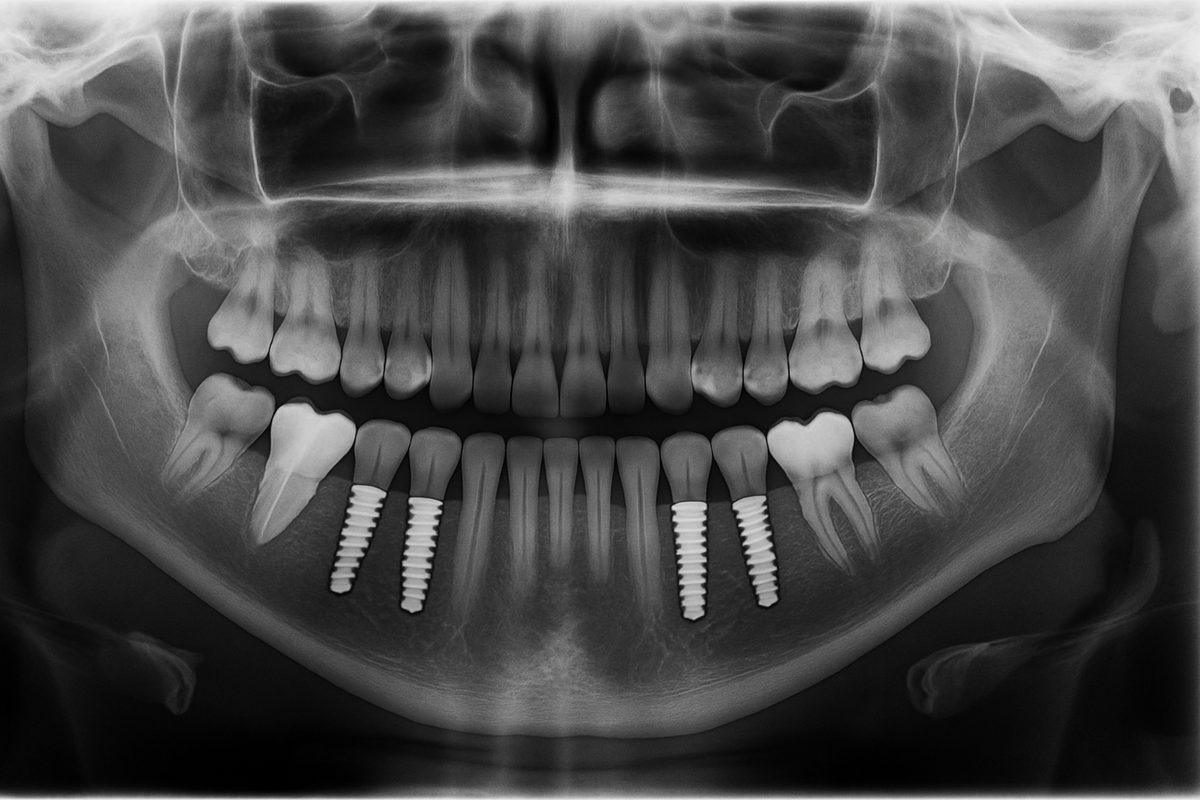
Implant teeth are metal posts surgically placed into the jawbone to act like natural tooth roots. After the bone fuses to the post, a crown, bridge, or denture is attached. Unlike traditional dentures or bridges, implant teeth preserve bone and do not rely on neighboring teeth for support.
Types of implant tooth restorations
Single implant crown
A single implant crown replaces one missing tooth. The crown sits on an abutment attached to the implant, giving a natural look and strong bite.
Implant-supported bridge
For several missing teeth in a row, an implant-supported bridge uses fewer implants to hold multiple teeth. It avoids altering healthy adjacent teeth like a traditional bridge would.
Full-arch solutions (All-on-4 / full-mouth reconstructions)
Full-arch solutions (All-on-4 / full-mouth reconstructions) restore an entire upper or lower set of teeth with a fixed prosthesis anchored on four or more implants. Many patients can get a same- or next-day smile with immediate-load protocols.
Implant-retained dentures
Removable or fixed dentures can snap or screw onto implants. Implant-retained dentures are more stable than traditional dentures and improve speech and chewing.
How implant teeth are placed: step-by-step
Consultation & digital planning
A consultation includes exams, digital scans, and CBCT 3D imaging to map bone and nerves. Planning ensures precise implant placement for implant teeth in The Villages, FL.
Surgery & implant placement
Surgery is usually done with local anesthesia and optional sedation. The implant is placed into the jawbone; the procedure can take 30–90 minutes depending on teeth and complexity.
Healing & osseointegration
Bone grows around the implant in a process called osseointegration. Healing typically takes 3–6 months; temporary teeth may be used during this time.
Final restoration
Once healed, the final crown, bridge, or denture is attached and the clinician checks fit, bite, and aesthetics.
Benefits of implant teeth
Implant teeth restore chewing and speech, look natural, preserve jawbone, and last many years with proper care. They feel more comfortable and secure than conventional dentures.
Who makes a good candidate for implant teeth?
Good candidates have healthy gums and enough bone. Chronic conditions like uncontrolled diabetes or smoking can affect success but may be managed. Bone grafts or sinus lifts can help patients gain the volume needed for implant teeth in The Villages, FL.
Costs, timeline, and financing
Costs depend on the number of implants, need for grafts, and type of final restoration. Single implants take months from start to finish; full-arch cases may be faster with immediate-load options. Many practices offer financing and will review what insurance might cover for implant teeth.
Why choose Sumter Landing Dental Care for implant teeth
Sumter Landing Dental Care offers CBCT imaging, an in-house dental lab, and 3D printing for faster, precise results. Dr. David Price and Dr. Anil Patel have extensive implant experience with single implants and full-arch reconstructions, including same- or next-day smile options.
What to expect at your first visit
Expect a CBCT scan, oral exam, discussion of options and timeline, and review of sedation choices. The team will provide a clear treatment plan and answer costs and financing questions.
Quick FAQ about implant teeth
Is it painful? Most patients report mild discomfort controlled with medication; sedation is available. How long do implants last? With good care, implants can last decades. How do I care for implant teeth? Brush, floss, and see your dentist regularly—cleaning around implants is essential.
Call to action
If you’re considering implant teeth in The Villages, FL, schedule a consultation to review your options and get a personalized treatment plan to restore your smile and function.
